Bunions and bunionettes are deformities of the toes. A bunion occurs as a bony lump on the outside of the big toe. It causes the tip of the toe to excessively angle towards the other toes. A bunionette occurs on the pinky toe. Symptoms of a bunion or bunionette are a bulging bump on the side of the affected toe, swelling or redness around the toe, restricted movement, physical discomfort or pain, numbness, and difficulty walking. Both bunions and bunionettes can be caused or made worse by wearing poorly-fitted, tight, or uncomfortable shoes. Orthotics can help ease the pain associated with bunions and bunionettes by distributing the weight of the body evenly along the surface of the foot and relieving pressure on the affected toes. To find out if orthotics may help you with your bunion pain, please consult with a podiatrist.
If you are having discomfort in your feet and would like to try orthotics, contact Adam Klein, DPM from Lynbrook, NY. Our practitioner can provide the care you need to keep you pain-free and on your feet.
What Are Orthotics?
Orthotics are inserts you can place into your shoes to help with a variety of foot problems such as flat feet or foot pain. Orthotics provide relief and comfort for minor foot and heel pain but can’t correct serious biomechanical problems in your feet.
Over-the-Counter Inserts
Orthotics come in a wide variety of over-the-counter inserts that are used to treat foot pain, heel pain, and minor problems. For example, arch supports can be inserted into your shoes to help correct overarched or flat feet, while gel insoles are often used because they provide comfort and relief from foot and heel pain by alleviating pressure.
Prescription Orthotics
If over-the-counter inserts don’t work for you or if you have a more severe foot concern, it is possible to have your podiatrist prescribe custom orthotics. These high-quality inserts are designed to treat problems such as abnormal motion, plantar fasciitis, and severe forms of heel pain. They can even be used to help patients suffering from diabetes by treating foot ulcers and painful calluses and are usually molded to your feet individually, which allows them to provide full support and comfort.
If you are experiencing minor to severe foot or heel pain, it’s recommended to speak with your podiatrist about the possibilities of using orthotics. A podiatrist can determine which type of orthotic is right for you and allow you to take the first steps towards being pain-free.
If you have any questions, please feel free to contact our office located in Contact Us . We offer the newest diagnostic and treatment technologies for all your foot care needs.

Custom orthotics can be used to relieve foot pain and discomfort. They're also used to treat various foot conditions and deformities. Flat feet, bunions, and Morton's neuroma are just a few of the foot conditions that have been known to benefit from the use of orthotics.
Comfy feet are happy feet! Contact us today.

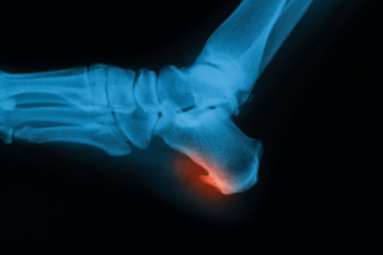
Heel spur surgery is considered when a bony growth on the heel bone continues to cause pain despite other forms of care. These spurs form when repeated strain on the foot leads to calcium buildup along the bottom or back of the heel bone, or calcaneus. Although not all heel spurs cause pain, in some cases they can create pressure and irritation with each step. Surgery removes the excess bone and reduces tension on nearby tissues, including the plantar fascia on the sole of the foot or the Achilles tendon at the back of the ankle. A podiatrist will examine the source of the pain, review imaging, and decide whether the spur on the bottom of the heel or near the tendon attachment needs to be removed. Recovery takes time as the foot heals and strength returns. If you have developed a heel spur that is causing pain, it is suggested that you make an appointment with a podiatrist for a diagnosis and treatment.
Heel spurs can be incredibly painful and sometimes may make you unable to participate in physical activities. To get medical care for your heel spurs, contact Adam Klein, DPM from Lynbrook, NY. Our practitioner will do everything possible to treat your condition.
Heels Spurs
Heel spurs are formed by calcium deposits on the back of the foot where the heel is. This can also be caused by small fragments of bone breaking off one section of the foot, attaching onto the back of the foot. Heel spurs can also be bone growth on the back of the foot and may grow in the direction of the arch of the foot.
Older individuals usually suffer from heel spurs and pain sometimes intensifies with age. One of the main condition's spurs are related to is plantar fasciitis.
Pain
The pain associated with spurs is often because of weight placed on the feet. When someone is walking, their entire weight is concentrated on the feet. Bone spurs then have the tendency to affect other bones and tissues around the foot. As the pain continues, the feet will become tender and sensitive over time.
Treatments
There are many ways to treat heel spurs. If one is suffering from heel spurs in conjunction with pain, there are several methods for healing. Medication, surgery, and herbal care are some options.
If you have any questions, please feel free to contact our office located in Contact Us . We offer the newest diagnostic and treatment technologies for all your foot care needs.

Toenail fungus is an infection that develops when microscopic organisms grow beneath or on the nail, leading to gradual changes in appearance and comfort. The nail may become thick, discolored, brittle, or crumbly, and, in some cases a foul odor or lifting of the nail can occur. Risk factors include warm damp environments, sweaty footwear, minor nail injuries, reduced circulation, and a weakened immune system. A podiatrist can confirm the diagnosis, trim and manage the affected nail, and provide advanced treatment options that target the infection and support healthy regrowth. Early care can prevent the fungus from spreading and protect surrounding nails. If you notice changes in your toenails, it is suggested that you schedule an appointment with a podiatrist for expert guidance and effective treatment.
For more information about treatment, contact Adam Klein, DPM of Lynbrook, NY. Our practitioner can provide the care you need to keep you pain-free and on your feet.
Toenail Fungus Treatment
Toenail fungus is a condition that affects many people and can be especially hard to get rid of. Fortunately, there are several methods to go about treating and avoiding it.
Antifungals & Deterrence
Oral antifungal medicine has been shown to be effective in many cases. It is important to consult with a podiatrist to determine the proper regiment for you, or potentially explore other options.
Applying foot powder on the feet and shoes helps keep the feet free of moisture and sweat.
Sandals or open toed shoes – Wearing these will allow air movement and help keep feet dry. They also expose your feet to light, which fungus cannot tolerate. Socks with moisture wicking material also help as well.
If you have any questions please contact our office located in Contact Us . We offer the newest diagnostic and treatment technologies for all your foot and ankle needs.

